Same-Day Dental Crowns in Aliso Viejo
Fix your broken or damaged tooth in just one visit, no temporaries, no second appointment.
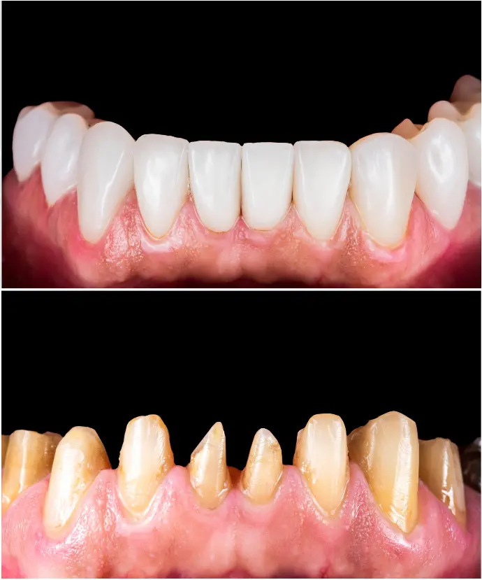
Chipped, cracked, or worn tooth and no time for multiple dental visits?


Why Patients Love Our Same-Day Crowns
Done in One Visit – Restore your tooth in a single appointment, usually in a few hours.
Natural Look & Feel – Tooth-colored ceramic crowns designed to match your smile.
Comfortable Digital Scan – 3D imaging instead of old-fashioned goopy impressions.
Strong & Long-Lasting – Made from high-quality materials designed for everyday chewing and biting.
Local Care You Can Trust – Led by Dr. Reza Tafreshi, serving Aliso Viejo & South Orange County.
Is a Same-Day Crown Right for You?
Same-day crowns may be ideal if you have:
A cracked or broken tooth
A tooth with a large filling that’s failing
A tooth that just had a root canal
Old metal crown you want to replace with a tooth-colored one
Limited time for multiple appointments

Why Choose AVF Dental Group for Your Crown?
Advanced 3D Imaging & Technology – Precision planning for a better fit and longer-lasting results.
Cosmetic-Focused Approach – We care how your crown looks as much as how it functions.
Comfort-First Visit – Gentle anesthesia, clear explanations, and a friendly team.
Flexible Hours & Online Booking – Make or change appointments easily from your phone.
Insurance-Friendly Office – We help you understand your coverage before treatment.
What to Expect at Your Appointment
Before Your Visit
Complete your forms online or arrive 10–15 minutes early.
- Bring your insurance card and a list of medications.
During Your Visit
- Exam and digital 3D scan
- Numbing of the tooth (if needed)
- Any old filling or decay is cleaned away
- Digital design and milling of your crown
- Final crown placed and adjusted for comfort
After Your Visit
- Mild tenderness is normal for a day or two
- Avoid very sticky or hard foods on that tooth for 24 hours
- Brush and floss usually; your crown is part of your everyday smile
Book Your Visit Today
Let’s Make Your Smile Healthier — Starting Now
Insurance & Payment Options
We work with many PPO dental insurance plans and will:
Check your benefits and estimated coverage
Explain your out-of-pocket cost before we begin
Help you use HSA/FSA funds if available
No insurance or limited coverage?
We offer flexible payment options and third-party financing so you can get the crown you need now and pay over time.
Frequently Asked Questions
Most same-day crown visits take about 2–3 hours from start to finish, depending on your specific case. You leave with your final crown that day.
Yes. Same-day crowns are made from high-quality ceramic materials designed to be durable, long-lasting, and as strong as lab-made crowns.
Absolutely. We match the shade and shape to your surrounding teeth so it blends seamlessly into your smile.
We numb the area so you stay comfortable during the procedure. Most patients feel only mild soreness afterward, if any.
With good oral hygiene and regular checkups, crowns can last many years. We’ll show you how to take care of it so it lasts as long as possible.
In most cases, yes. If your plan covers crowns, it typically covers same-day crowns as well. Our team will verify your benefits and give you a clear estimate.